矢島歯科医院

インプラント治療経過症例

治療経過は随時更新します。
小さな画像にマウスをあてると画像が切り替わります。

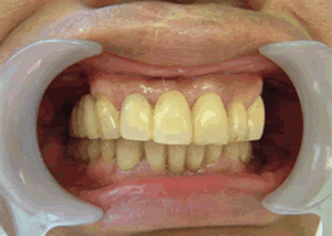
症例4 57歳女性

2009 6/21 更新

治療前
(下11本、上1本抜歯済み)
平成19年6月29日

治療経過こちら

治療前
1.下11本、上1本抜歯、同時に総義歯セット
2.総義歯セット 正面口腔内
3.総義歯の入った正面観
4.抜歯後1ヶ月 術面口腔内
5.抜歯後1ヶ月
上顎前歯部5本 インプラント埋入
6.前歯部インプラント
埋入より1ヶ月
左右臼歯部8本
インプラント埋入
7.下の前歯部に4本
インプラント埋入
8.この部は薄い骨があっただけでインプラントの先端1/3を骨に埋入。あとはすべて骨を作ってあります。
上にのせた膜の中にチタンのフレームがわずかに映っています。
9.左下に3本 インプラント埋入
10.右下に3本 インプラント埋入
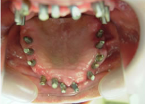
11.上にチタンの土台が入りました。
12.上の仕上がり上部構造3ケに分かれているが入ると一体化します。
13.3ケのパーツが一体になりました。
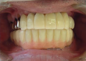
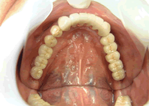
14.上は作った最終本物の歯が入っています。
下はチタンの土台が10本入りました。
15.下の土台は平行性あわせて削ったところです。
16.上は仕上がりが入り、下は仮歯です。
17.下の仕上がり上部構造3ケに分かれているが、入ると一体化します。
18.3ケのパーツが一体になりました。
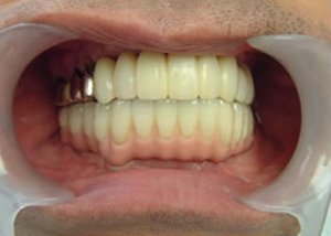
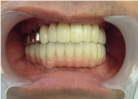
19.下は作った最終本物の歯が入りました。
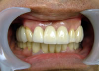
これで治療終了。
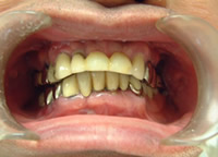
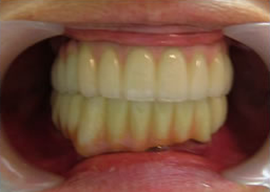
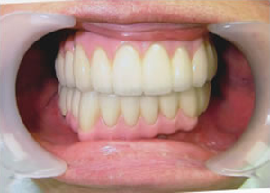
開口器を入れた口元
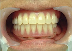
治療完了
平成21年1月29日
(治療期間:1年7ヶ月)

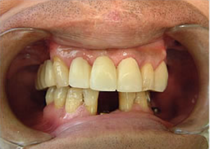
症例1 51歳男性

2007 9/14 更新

治療前
平成16年7月7日

治療経過こちら

治療前
1.・骨つくり
・インプラント15本埋入
ソケットリフト
サイナスリフト
リッジオギュメンテーション
2.上7本インプラントに土台をつけたところ
-2-口腔内写真
-2-仮歯12本入れたところ
-2-仮歯12本入れたところ(正面)
3.仮歯上12本
下15本入れたところ(正面)
4.下14本最終の冠をかぶせたところ-上から(鏡)
-正面-下14本の最終の冠をかぶせたところ
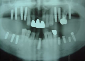
5.終了時レントゲン
治療完了
平成19年5月1日
(治療期間:2年10ヶ月)

症例2 58歳男性

2007 9/14 更新

治療前
平成17年3月18日

治療経過こちら

治療前
1.左上 上顎洞骨作り
サイナスリフト
2.右下インプラント
一部オギュメンテーション
3.左上インプラント
4.前上インプラント
オギュメンテーション
5.・左上1本抜歯
・同時インプラント(1本埋入)
ソケットリフト
オギュメンテーション
6.前上から左下に6本
インプラント埋入
オギュメンテーション
7.上10本仮歯入れたところ(正面)
8.下・インプラントに10本土台をつけた口腔内
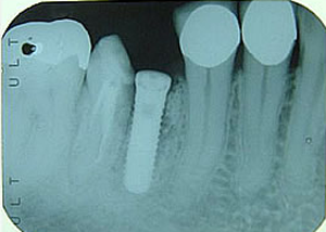
-8-上下・18本の土台のついたレントゲン所見
-8仮歯-上10本 下15本
仮歯の入った口腔内
9.模型上の最終物
10.3ケのユニットになっています。
11.最終の作った歯が入った後の口腔内
12.歯が入ったところを鏡で上から写したところ
治療完了
平成18年12月18日
(治療期間:1年9ヶ月)

症例3 57歳 男性

2008 10/18 更新

矢島歯科院長

治療経過こちら

右下
第一第臼歯近心根破折
(大臼歯は歯根が二つに分かれている)
1.H18.4.12
抜歯後
(某歯科医院にて手前の歯根のみ抜歯)
2.インプラントする前
(抜歯後4ヶ月弱)
3.H18.8.22
抜いたところにインプラント埋入
(助手に鏡を持ってもらい、それを見ながら埋入)
4.紺屋の白袴中
5.インプラントに支台を入れたところ
6.上部の冠をつけたところ
7.大臼歯を2個の歯に分けて入れました。
良好に使用中
ページトップヘ戻る