長野県でインプラント歯科をお探しなら矢島歯科医院へ長野県でインプラント歯科をお探しなら矢島歯科医院へ

Yajima Dental Clinic
Home 医院紹介 院長紹介 当医院の診療日 アクセス お問い合わせ
Contents

インプラント治療
 歯科インプラントとは?

 インプラントに対する私の考え方

 インプラント治療の流れ

 インプラントの手術法

 骨作り手術法

 骨作り症例

 インプラントをしてから歯を作るまで

 インプラント手術を行うに際し

 インプラントの治療症例@

 インプラント治療の症例A

 インプラントQ&A

 インプラント治療体験談

その他得意とする治療
 顎関節症治療

 審美歯科・ホワイトニング

 崩壊咬合治療

矢島歯科医院

〒382-0911
長野県須坂市横町287
TEL:026−245−0160
E-Mail:info@yajimashika.com

診療時間
休診日:日曜日・祝祭日・隔週水曜日


 

 

 

 

 

 

 

 

 

 

 

 

 

 

 

 

 

 

 

 

 

インプラント治療


インプラントの治療症例

小さな画像にマウスをあてると画像が切り替わります。

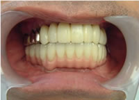
症例1 2007 9/14 更新
治療前 治療完了
治療前
平成16年7月7日
治療完了
平成19年5月1日
(治療期間:2年10ヶ月)

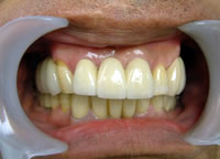
症例2 2007 1/11 更新
治療前 治療完了
治療前
平成17年3月18日
治療完了
平成18年12月18日
(治療期間:1年9ヶ月)

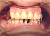
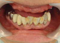
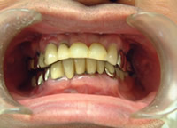
症例3 2008 10/18 更新
 

2016 3/21更新
治療前
治療前 治療完了

抜歯後
(下11本、上1本抜歯済み)
平成19年6月29日

治療完了
平成21年1月29日
(治療期間:1年7ヶ月)

 

 57歳 女性

治療後
インプラント21本 すべてジルコニア冠
 52歳 男性 NEW
上1本 下1本 本人の歯を残した症例
治療前

治療後
当医院にてインプラント16本埋入 他医院インプラントも使用した
症例7 53歳 男性 NEW
上3本 下3本 本人の歯を残した症例
治療前

治療後
当医院にてインプラント20本埋入
▲ページTOPへ 

京セラ 当サイトで使用されている写真・文章等の無断転載は、お断りいたします。
Copyright(C)2006 by yajima dental clinic,. All rights reserved
長野県でインプラント歯科をお探しなら矢島歯科医院へ