長野県でインプラント歯科をお探しなら矢島歯科医院へ長野県でインプラント歯科をお探しなら矢島歯科医院へ

Yajima Dental Clinic
Home 医院紹介 院長紹介 当医院の診療日 アクセス お問い合わせ
Contents

インプラント治療
 歯科インプラントとは?

 インプラントに対する私の考え方

 インプラント治療の流れ

 インプラントの手術法

 骨作り手術法

 骨作り症例

 インプラントをしてから歯を作るまで

 インプラント手術を行うに際し

 インプラントの治療症例@

 インプラント治療の症例A

 インプラントQ&A

 インプラント治療体験談

その他得意とする治療
 顎関節症治療

 審美歯科・ホワイトニング

 崩壊咬合治療

矢島歯科医院

〒382-0911
長野県須坂市横町287
TEL:026−245−0160
E-Mail:info@yajimashika.com

診療時間
休診日:日曜日・祝祭日・隔週水曜日

崩壊咬合治療


●崩壊咬合治療について

・口の中を長期にわたり悪い状態で放置する。
・咬み合わせの平面が崩れ、口もしくは顔が曲がって見える。
・冠も入れ歯も何も入るすき間がない。

この様なケースを「マイオドンティクス」という特殊理論によって分析し、歯並びの平面を合わせ、最終的には顎関節のバランスまでとるという治療も行っております。


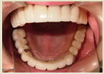
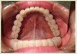
◆崩壊咬合治療症例

症例1 32歳 男性 画像拡大
治療前 治療後
症例2 63歳 女性 画像拡大
治療前 治療後
 

京セラ 当サイトで使用されている写真・文章等の無断転載は、お断りいたします。
Copyright(C)2006 by yajima dental clinic,. All rights reserved
長野県でインプラント歯科をお探しなら矢島歯科医院へ