長野県でインプラント歯科をお探しなら矢島歯科医院へ長野県でインプラント歯科をお探しなら矢島歯科医院へ

Yajima Dental Clinic
Home 医院紹介 院長紹介 当医院の診療日 アクセス お問い合わせ
Contents

インプラント治療
 歯科インプラントとは?

 インプラントに対する私の考え方

 インプラント治療の流れ

 インプラントの手術法

 骨作り手術法

 骨作り症例

 インプラントをしてから歯を作るまで

 インプラント手術を行うに際し

 インプラントの治療症例@

 インプラント治療の症例A

 インプラントQ&A

 インプラント治療体験談

その他得意とする治療
 顎関節症治療

 審美歯科・ホワイトニング

 崩壊咬合治療

矢島歯科医院

〒382-0911
長野県須坂市横町287
TEL:026−245−0160
E-Mail:info@yajimashika.com

診療時間
休診日:日曜日・祝祭日・隔週水曜日

インプラント治療


インプラントの治療症例


●歯を一本失った場合

 40歳 女性 インプラント埋入数:1本 画像拡大
治療前 治療後
治療前 治療後
治療後    治療後

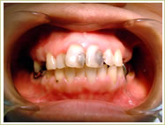
●歯を数本失った場合

 60歳 男性 インプラント埋入数:6本 画像拡大
治療前 治療後
治療前
治療後 治療後 治療後

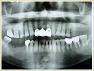
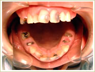
●すべての歯を失った場合

 79歳 男性 インプラント埋入数:12本 画像拡大
治療前 
治療前
治療中
  参考写真
治療後
治療中治療後

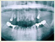
●骨作りを行った症例

 38歳 女性 インプラント埋入数:6本 画像拡大
治療前
治療前   治療前
骨作り
骨作り 骨作り
治療後
治療後 治療後 治療後
インプラント症例 もっとご覧になりたい方はこちらから

京セラ 当サイトで使用されている写真・文章等の無断転載は、お断りいたします。
Copyright(C)2006 by yajima dental clinic,. All rights reserved
長野県でインプラント歯科をお探しなら矢島歯科医院へ