

|

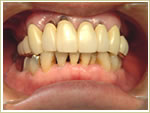
59歳 男性 インプラント埋入数:12本 |
 |
| 治療前 |
 |
治療後 |
|
 |
 |
|
59歳 男性 インプラント埋入数:7本 |
 |
| 治療前 |
 |
治療後 |
 |
 |
|
66歳 女性 インプラント埋入数:5本 |
 |
| 治療前 |
 |
治療後 |
 |
 |
|
58歳 女性 インプラント埋入数:3本 |
 |
| 治療前 |
 |
治療後 |
 |
 |
|
46歳 女性 インプラント埋入数:1本 |
 |
| 治療前 |
 |
治療後 |
 |
 |
|
48歳 女性 インプラント埋入数:7本 |
 |
| 治療前 |
 |
治療後 |
 |
 |
|
68歳 男性 インプラント埋入数:10本 |
 |
| 治療前 |
 |
治療後 |
 |
 |
|
57歳 女性 インプラント埋入数:6本 |
 |
| 治療前 |
 |
治療後 |
 |
 |
|
62歳 女性 インプラント埋入数:2個 2本 |
 |
| 治療前 |
 |
治療後 |
 |
 |
|
 |
|